歯周病の可能性

人間と同じく、ワンちゃんやネコちゃんの歯周病は、全身の病気と大きく関係している可能性があります。
実際に、3歳以上のワンちゃんやネコちゃんの約8割が歯周病といわれています。しかしワンちゃんやネコちゃんは、自分では歯を磨くことができません。飼主様のケアにかかっています。
歯に付着する歯石は、歯周病菌の巣窟です。愛するワンちゃんやネコちゃんを歯周病にしたくなかったら、何よりも歯石を取り除くことが大切です。
とはいえ、一般のご家庭ではケアにも限界があります。動物病院で、定期的な歯石取り(スケーリング)を行うことをおすすめします(予約制)。
スケーリングには全身麻酔が必要です。全身麻酔をしてから歯石を除去し、歯根清掃や歯の表面を滑らかにし、歯石が着きづらくする処置を行います。
お口の健康チェック!
- 歯に色が付いている
- 歯茎が腫れたり、赤くなったりしている
- ぐらぐらしている歯がある
- 最近、抜けたはが食べたいのに食べると悲鳴を上げたにしている
- お口から臭いがする
- 歯石が溜まっている
- よだれが多く出る
- 眼の下が腫れている
- お咳をする
歯や口腔の検査は、お口を閉じた状態で唇をめくった状態で、歯の状態、歯茎の色、口臭などを観察して行います。
歯周病になると常に口臭がひどくなります。さらに歯周病菌が血液中に入り込むと、心不全、血栓症の原因になることもあります。
口臭は歯のトラブル以外でも発生することがありますので、早急に診察を受けられることをおすすめします。
歯石は、油断すると3日ほどで付いてしまいます。付いてしまったら自宅ではどうすることもできません。全身麻酔をかけて除去する必要があります。そうなる前に、日頃からのお手入れで防止したいものです。日ごろからお口を触らせてくれるように訓練し、ブラッシングの習慣をつけたり、歯石沈着防止のガムや、バイオフィルムの形成を阻害するサプリメントなどを使用するのもよい方法です。
当院では歯や口腔ケアに、「歯磨き&口腔内オゾン水洗浄(医療用オゾンガス使用)」もおすすめしています。
アフターが大事

歯石は、油断すると3日ほどで付いてしまいます。付いてしまったら自宅ではどうすることもできません。全身麻酔をかけて除去する必要があります。そうなる前に、日頃からのお手入れで防止したいものです。日ごろからお口を触らせてくれるように訓練し、ブラッシングの習慣を付けたり、歯石沈着防止のガムや、バイオフィルムの形成を阻害するサプリメントなどを使用するのもよい方法です。
当院では歯や口腔ケアに、「歯磨き&口腔内オゾン水洗浄(医療用オゾンガス使用)」もおすすめしています。
オゾン水を利用した人の声
家では怒ってしまって歯磨きもできないので、病院でしていただいています。オゾン水で洗浄もしてもらうので、お口の臭いも(汚れも)さっぱり取れます。最低でも月一回の歯磨き&オゾン水洗浄は続けていこうと思います。(DX・アグリママ)
歯石がつく前からずっと歯磨きをしていただいているので、うちの子は歯がとてもきれいです。(トイプードル・ひなママ)
インターベリーを使用しています
「インターベリーα」は、ワンちゃんの歯肉炎を改善するお薬です。歯肉炎は歯周病の初期段階ですので、進行を防ぐためにも、早めにこのお薬で治療しましょう。
「インターベリーα」は、世界初のイヌインターフェロンα製剤です。お口の中の免疫バランスを改善し、歯周病の原因となる細菌の数を減少させることで歯肉炎の症状を改善させます。口臭の軽減にも効果があります。
歯茎の外側にマッサージをするようにまんべんなく塗り込んで使用します。イチゴを原料とする甘い味がするため、ワンちゃんも嫌がることなく塗布しやすいお薬です。
デンタルケアを始めましょう
実に2歳までのワンちゃんの80%、ネコちゃんの70%が歯周病にかかっているといわれています。特に小型犬種は、そのリスクが高いことがわかっています。
歯周病が恐ろしいのは、単にお口の問題だけでは済まないこと。歯周病を引き起こす口内細菌は血流にのって全身を巡るため、内臓や血管などの病気とも深く関連し、寿命が短くなる可能性があることも報告されています。
大切な家族であるワンちゃんと1日も長く一緒に過ごすために、今すぐデンタルケアを始めましょう。デンタルケアは動物病院での歯石除去と、ご家庭での歯垢付着予防の両方を併せて行うことが大切です。獣医よりホームケアのアドバイスもいたしますので、どうぞ当院へお気軽にご相談ください。
自分で歯石取りはできますか?

ワンちゃんの歯石取りについては、「うちの子はおとなしいし、自分にもできるかも」と思う飼い主様もいらっしゃるかもしれませんが、それは絶対におやめください。
歯石取りは、スケーラーと呼ばれる専用の器具を使用して、歯の表面の歯石や細菌の塊(バイオフィルム)を除去していく処置です。これをスケーリングといいますが、無麻酔でのスケーリング処置については、数々のトラブルが報告されています。
たとえば、「かえって歯周病が悪化した」「お口を触らせてくれなくなった」「お口の中を傷つけてしまった」「顎を骨折した」「歯が破折した」といったトラブルだけでなく、股関節の脱臼や椎間板ヘルニアなどの重大な事故の報告もあるのです。
これらのトラブルは無麻酔で起きたものですから、ワンちゃんはすべて覚えています。無麻酔で痛い怖い思いをしてお口を触らせてくれなくなると、今後のすべての診療に差し障りが出てくることになり、健康を守ることがとても難しくなってしまいます。
麻酔による事故はゼロとはいえないため、無麻酔での処置を希望される飼い主様もいらっしゃいますが、当院では無麻酔でのリスクのほうを重大とし、麻酔をした状態での安全に歯石の除去を行っています。
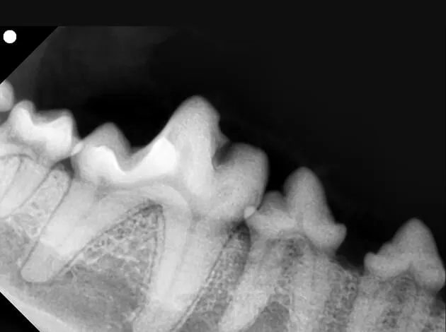
歯科用レントゲンを導入いたしました!
通常のレントゲンと歯科用レントゲンの違い
通常のレントゲンと歯科用レントゲンでは、得られる情報に大きな差があります。
通常のレントゲンは、無麻酔で撮影ができ、全体像を捉えられるメリットがありますが、歯を撮影すると、左右の歯が重なり合って写るため、どうしても観察できない部分が出てきてしまいます。
歯科用レントゲンは、歯の根の部分や、歯髄と呼ばれる歯の内部、顎の骨の状態までを精密な画像で撮影することができます。歯の1本1本の細部までをしっかり観察することができるため、病状をより正確に把握して、適切な診断、治療、予後判定につなげることができます。
たとえば、歯周病であれば、重症度を診断するのに有効です。歯の根の状態を見て抜歯が必要かどうかを判断できますし、継続して治療を行う場合は、経過観察にも役立ちます。
歯科用レントゲンでわかる異常

歯科用レントゲンで撮影すると、歯の周囲の部分が黒く写っていることがあります。これは、悪くなった歯の根が歯周病により溶け始めていることを意味します。つまり、抜歯が必要な状態です。
抜くべき歯を放置しておくと歯周病がますます進行し、やがて歯が抜け落ちるだけでなく、炎症が鼻まで進んで顔から血膿が出てきたり、眼の下に膿がたまったり、顎の骨が折れたり、本当に可哀想な状態になってしまうことも少なくないからです。
歯科用レントゲンの画像があれば、抜歯を含む歯周病の治療方針を迅速に決めることができ、飼い主様も診断の根拠となるお口の状態を一緒に確認することができます。
また、歯科用レントゲンは、根尖周囲病巣という、歯肉の中に隠れていて見えない歯の根の部分の腫瘍や嚢胞などの病気も診断することが可能です。
歯科用レントゲン撮影の流れ
- 1健康状態のチェック
- 全身麻酔を行えるかどうかの健康確認を行います。
- 2全身麻酔
- 歯科用レントゲン撮影を安全かつ正確に行うために全身麻酔を行います。
- 3レントゲン撮影
- 歯科用レントゲン装置で撮影したい箇所をピンポイントで撮影します。
- 4ご説明
- レントゲン検査の結果をご説明し、必要に応じて抜歯を行います。
飼い主様へ歯科用レントゲンについて
動物は言葉が話せないため、飼い主様の目からはきれいで特に問題がないように見えても、歯科用レントゲンを撮ってみると、思いのほか歯周病が進行していることが少なくありません。
歯周病はお口の問題だけでなく、全身の健康状態に影響を与え、ワンちゃんネコちゃんの寿命にも関わる病気です。定期的に歯科用レントゲンでお口の中の状態をチェックしましょう。
当院では、麻酔下での歯石除去と同時に、歯科用レントゲン撮影を行うことをおすすめしています。同じタイミングで行えば、麻酔を2度打たなくても済むからです。
歯磨き指導
歯周病の原因は歯周ポケットにたまった歯垢であり、歯周病の予防にもっとも効果的なのは、毎日の歯磨きです。当院では、飼い主様に、ご自宅でワンちゃんの歯磨きをするときのアドバイスをお伝えしています。
歯磨きがワンちゃんと飼い主様のコミュニケーションタイムとなるように、飼い主様も楽しんで行うことと、ご褒美を見せていったん「待て」をさせて、上手にできたらご褒美をあげることが大切です。
ワンちゃんの歯磨きの5つのポイント

- 1.「歯ブラシ=良いもの」と印象づけましょう
- 2.無理をせず少しずつ行いましょう
- 3.ほめることと、ご褒美を忘れずに
- 4.毎日の習慣にしましょう
- 5.飼い主様も楽しみながら行いましょう
ワンちゃんの歯磨きの進め方
Step1 お口の周りを触ってみる
ワンちゃんに歯磨きは怖いことだと思われないように、まずは口の周りを触ることに慣れさせます。ご褒美を活用し、おとなしくできるようになったら次のステップへ進みましょう。
Step2 お口の中に指を入れてみる
ワンちゃんの上唇をめくり、まずは人さし指の腹で軽く歯や歯茎を触る練習をします。おとなしくできたら、次は口の中に指を入れます。少しずつお口に指を入れている時間を長くしていきます。
Step3 ガーゼやシートで歯磨き
ガーゼや市販のペット用歯磨きシートを指に巻き、もう片方の手でワンちゃんの頭を支えながら唇の端から口の中へ滑らせるように入れます。数秒触ることを何回か繰り返し、慣れてきたら前歯から少しずつ奥歯へ移動して歯を擦ります。
Step4 歯ブラシで歯磨き
歯ブラシに慣れさせるために、まずは歯ブラシにおいしい味のついた歯磨き用ジェルやペーストを付けて、舐めさせることから始めます。自分の手の甲に当てたときにくすぐったいと感じるくらい軽い力で、前歯の外側から少しずつ磨き、徐々に奥歯へと進みます。
Step5 歯の裏側を磨く
歯の裏側を磨く前に、ワンちゃんに口を開ける練習をさせます。上手にできるようになったら、歯の裏側の上下を磨いて終了です。
ステップを進む途中、嫌がるようならいったん後戻りしたり、休んだりして、無理をせず、行いましょう。歯磨きは難しいと思われるネコちゃんも、歯ブラシが大好きになることで上手にできるようになります。









